Thông tin chung
Đậu tương cũng như nhiều loại cây khác cùng họ có sự cộng sinh giữa rễ cây và vi khuẩn Rhizobium, là loại vi khuẩn có khả năng cố định đạm. Cây cung cấp sản phẩm quang hợp cho đời sống và hoạt động của vi khuẩn ngược lại vi khuẩn có vai trò cố định nitơ tự do từ không khí thành dinh dưỡng đạm cho cây.
Ngay sau khi đậu nành bắt đầu mọc, vi khuẩn Rhizobium japonicum đã xâm nhập vào lông hút của rễ (những lông hút đang sinh trưởng mạnh) và nhanh chóng gia tăng tốc độ sinh sản số lượng vi khuẩn. Những vi khuẩn này hình thành một đường lây nhiễm hướng về gốc của lông hút và cuối cùng xuyên qua lớp vỏ rễ xâm nhập vào vùng nhu mô vỏ rễ. Các tế bào nhu mô vỏ rễ tr n đầy vi khuẩn, những tế bào này phản ứng bằng cách phát triển dị dạng về kích thước thành những tế bào lớn có nhân khổng lồ nhưng vẫn còn
sống, nhiều tế bào thế này hợp lại thành nốt sần.
Những nốt sần này được ví như những nhà máy sản xuất đạm, nốt sần có phẩm chất tốt thì to, màu hồng. Số lượng và trọng lượng nốt sần có liên quan trực tiếp đến sinh trưởng và năng suất cây đậu nành. Khoảng 10 ngày sau khi gieo thì nốt sần có thể xuất hiện. Vào cuối thời kỳ sinh trưởng của cây, số lượng vi khuẩn nốt sần trong tế bào nhu mô giảm dân. Khi cây chín nốt sần bị thối, vi khuẩn đi ra đất và ở đó sinh sản, sống trong trạng thái hoại sinh và chờ đợi lây nhiễm của vụ sau.
Đường kính nốt sần có thể đạt trên 4 mm, những nốt sần trên rễ cái gần cổ rễ thường to, các nốt trên rễ con và xa cổ rễ thường nhỏ, nhiều khi các nốt sần liên kết với nhau thành dạng bất định hoặc xẻ nhánh.
Những cây đậu nành sinh trưởng phát triển tốt thì nốt sần tập trung trên rễ cái, gần cổ rễ. Ruột nốt sần có màu hồng thì cây sinh trưởng tốt, lá xanh; Ngược lại sự cộng sinh không hữu hiệu thì có nốt sần nhỏ, phân tán trên bộ rễ, ruột nốt có màu trắng hay hồng nhạt hoặc xanh, cây sinh trưởng kém, lá hơi vàng.
Theo nhiều tài liệu đã công bố thì lượng đạm do vi khuẩn cố định được đạt trung bình 94 kg/ha/vụ, tương đương khoảng 200kg Urê, trường hợp thuận lợi có thể lên tới 168 kgN/ha/vụ. Lượng đạm do vi khuẩn cố định được có thể đáp ứng 74% nhu cầu đạm của cây đậu nành.
Điều kiện môi trường có ảnh hưởng lớn đến hoạt động và khả năng cố định đạm của vi khuẩn. Liều lượng đạm quá cao làm ức chế quá trình cố định đạm của vi khuẩn vàngược lại; Lân có tác dụng tích cực đối với sự hình thành và cố định đmạ của nốt sần, nhất là trong trường hợp đất đủ Canxi hay được bón vôi.
Nhiệt độ đất thích hợp cho hoạt động của vi khuẩn là 25-300C, dưới 00C và trên 400C vi khuẩn không hoạt động. Đất có độ ẩm đầy đủ giúp vi khuẩn hoạt động tốt, đất bão hoà nước làm giảm hoạt động của vi khuẩn.
Trong thực tế nguồn vi khuẩn có sẵn trong đất trên những chân đất chưa hay quá lâu không trồng đậu nành rất hạn chế, vì vậy những chân đất này nếu được nhiễm khuẩn hạt giống trước khi gieo sẽ có hiệu quả rất cao (trộn hạt giống với chế phẩm), tuy nhiên biện pháp này chưa được ứng dụng rộng rãi do việc xác định những dòng vi khuẩn phù hợp từng giống đậu nành vẫn trong quá trình nghiên cứu.
Trong quá trình cây sinh trưởng, vi khuẩn vẫn tiếp tục xâm nhập vào các rễ non. vì vậy ở một cây đậu nành trưởng thành có thể có các nốt sần ở độ tuổi khác nhau.

Công trình nghiên cứu của Mbah và ctv. (2018) Symbiosis (2018) 75:205–216
https://doi.org/10.1007/s13199-017-0531-2
Nitrate được biết ức chế hình thành nốt sần và cố định N2, nhưng người ta rất ít biết về về ảnh hưởng của nó trong sự thu hút và tích lũy các nguyên tố vi lượng Fe, Zn, Mn và Cu. Nghiên cứu này nhằm mục đích đánh giá ảnh hưởng của nghiệm thức bổ sung: 5 mM NO3, trong điều kiện có chủng hoặc không có chủng vi khuẩn Rhizobium, trên nốt sần, chức năng của nốt sần và ở các mức độ vi chất dinh dưỡng có trong chồi thân của cây đậu nành (Glycine max L.Merr.), Bambara groundnut (Vigna subterranea L. Vedc) và
Kersting’s groundnut (Macrotyloma geocarpum Harm).
Kết quả cho thấy: mức độ tăng trưởng giảm, sự hình thành nốt sần và khối lượng khô của nốt sần ở nghiệm thức có bổ sung 5 mM NO3 – cây có chủng vi khuẩn cộng sinh của tất cả 3 loài cây họ đậu nói trên. Sự ức chế của nitrate làm giảm đi 1,2, 1,4, và 1,5 lần số nốt sần / cây ở loài Bambara groundnut, đậu nành và Kersting’s bean, kết quả là giảm khối lượng khô nốt sần 2,3, 3,3 và 4,5 lần đối với 3 loài cây họ đậu nói trên, theo thứ tự. Việc bón 5 mM NO3− cây đậu nành cho kết quả suy giảm 2,5, 4,0 và 5,4 lần hàm lượng Fe, Zn và Mn trong chồi thân, theo thứ tự, khi so sánh với đối chứng có sự cộng sinh. Khi quan sát, người ta thấy có sự suy giảm 1,3, 1,8 và 1,3 lần hàm lượng Zn, Mn và Cu trong chồi thân có chủng của loài Bambara groundnut khi bón thêm NO3, các mức độ đều thấp hơn so với cây đậu nành.Với loài cây họ đậu Kersting’s groundnut, hàm lượng vi lượng trong chồi thần Fe, Zn và Cu đều cao hơn so với nghiệm thức bón 5 mM NO3 – trên cây có chủng vi khuẩn, khi so sánh với nghiệm thức đối chứng là cộng sinh tự nhiên, trái ngược với đậu nành. Bón thuần NO3 –cho các loài họ đậu này làm suy giảm 2,0, 1,4 và 1,3 lần hàm lượng Fe, Zn và Cu tương quan với cây chủng vi khuẩn có xử lý NO3. Rõ ràng là, bón thêm NO3 cho các giống bản địa của 3 loài cây họ đậu này không chỉ ức chế sự hình thành nốt sần mà còn làm giảm vi chất dinh dưỡng được hấp thu vào chồi thân đậu nành và Bambara groundnut, mà không phải giống đậu Kersting’s bean (Mbah và ctv. 2018).

Công trình nghiên cứu của Hari Krishnan và ctv. (2018)
Scientific Reports (2018) 8:2367 | DOI:10.1038/s41598-018-20919-8 www.nature.com/scientificreports
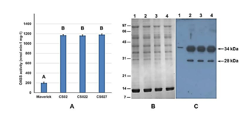
Trong sự cộng sinh, các nốt sần đóng vai trò cố định đạm từ khí quyển cung cấp cho cây đậu nành (nitrogen-fixing nodules), mà sự kiện như vậy còn là những lĩnh vực chủ yếu của hiện tượng đồng hóa lưu huỳnh (sulfur assimilation), đóng góp đáng kể nhu cầu lưu huỳnh của cây đậu nành. Các nốt sần là những vị trí có ưu thế cho sự tích lũy cysteine và hoạt động của enzyme: O-acetylserine(thiol)lyase (OASS), có chức năng trung tâm trong nội dung đồng hóa sulfur của cây đậu nành. Ở đây, các tác giả đã xem xét tác động của sự thể hiện mạnh mẽ gen OASS trong nốt sần đậu nành và metabolome của nốt sần. Sự thể hiện mạnh mẽ gen OASS không ảnh hưởng đến số nốt sần, nhưng tác động tiêu cực đến tăng trưởng của cây. kết quả đo bằng sắc ký lỏng cao áp (HPLC) của những chất biến dưỡng có tính chất “antioxidant” chứng minh rằng: hàm lượng cysteine, glutathione, và homoglutathione gần như tăng gấp đôi khi gen OASS thể hiện mạnh mẽ trong nốt sần so sánh với nốt sần đối chứng. Chạy profiling “chất biến dưỡng metabolite” bằng sắc ký khối phổ lồng ghép LC-MS (lỏng) và GC-MS (khí) chứng minh rằng: rất nhiều chất biến dưỡng “metabolites” có liên quan đến serine, aspartate, glutamate, và chu trình amino acid phân nhánh (branched-chain amino acid pathways) tăng lên rất đáng kể trong nốt sần có sự thể hiện mạnh mẽ OASS. Sự khác biệt ấn tượng hơn hết là hàm lượng flavonoid giữa biểu hiện mạnh mẽ OASS và đối chứng. Như vậy, sự thể hiện mạnh mẽ OASS trong nốt sần của cây đậu nành bù đấp lại sự gia tăng yêu cầu carbon đối với nội dung đồng hóa lưu huỳnh thông qua sự suy giảm sinh tổng hợp của một vài amino acids, và thông qua sự bù đấp của chu trình TCA với sự kiện thủy phân các acid béo. Số liện nghiên cứu này có thể cho thấy sự thể hiện mạnh mẽ OASS trong nốt sần cây đậu nành có một sự ngưng lại trung bình khi cung cấp các chất biến dưỡng giàu năng lượng cho nốt sần, điều ấy bù đắpbởi sự phân rả của các hợp chất trong tế bào để đáp ứng nhu cầu biến lượng về năng lượng cho nốt sần (Krishnan và ctv. 2018).

Hình 1: Tổng quát về sự đồng hóa lưu huỳnh và các chu trình sinh học có liên quan.co(Krishnan và ctv. 2018).

Hình 2: Hoạt động của enzyme OASS và hàm lượng OASS trong nốt sần đậu nành. Tách chiết protein từ nốt sần 20 ngày tuổi của cây đậu nành chuyển gen và không chuyển gen, để xét nghiệm hoạt động OASS (Krishnan và ctv. 2018).

Giải phẩu học nốt sần đậu nànhi p
Viện Khoa Học Kỹ Thuật Nông Nghiệp Miền Nam
Địa chỉ: 121 Nguyễn Bỉnh Khiêm, P. Tân Định, TP.HCM
Điện thoại: 028. 38234076 – 38228371
Website : http://iasvn.org - Email: iasvn@vnn.vn